院校报道

您所在的位置: 首页 - 院校报道

中国学者Lancet刊文称新型病毒感染有四大常见表现: 发烧、干咳、呼吸困难和双侧毛玻璃状样变!

2020年1月24日,北京中日友好医院曹彬及北京协和医学院王建伟共同通讯在国际顶级医学期刊Lancet 在线发表论文,指出新型冠状病毒(2019-nCoV)感染常见症状为发烧、干咳、呼吸困难和肺CT的双侧毛玻璃状样变。

 

研究中,到2020年1月2日,已确认有41名入院患者经实验室确认2019-nCoV感染。中位年龄为49岁。

 

41例患者中有27例(66%)曾接触过华南海鲜市场。

 

发病时的常见症状为发烧(98%),咳嗽(76%)和肌痛或疲劳(44%)。有28%咳痰,8%头痛,5%咯血和3%腹泻。

 

作者指出,很少有2019-nCoV感染的患者出现明显的上呼吸道体征和症状(例如,鼻涕,打喷嚏或喉咙痛),表明病毒的靶细胞可能位于下呼吸道。

 

40名患者中,有22名(55%)出现了呼吸困难,从发病到呼吸困难的中位时间为8天。

 

41名患者中有26名(63%)患有淋巴细胞减少症。

 

在41例患者中,有40例(98%)有双侧肺受累。

 

ICU患者入院时胸部CT图像的典型发现,是双侧多发小叶和亚段实变(见下图)。

 

 

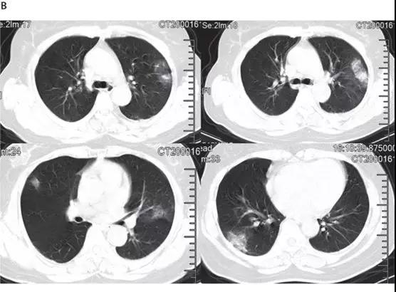
非ICU患者的代表性胸部CT检查表现为双侧毛玻璃样混浊和亚段实变(见下图)。

 

 

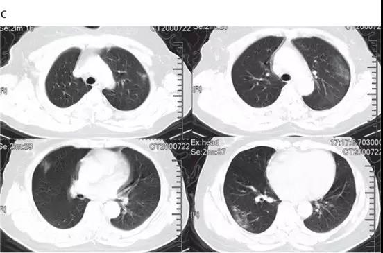
随后的胸部CT显示双侧毛玻璃样混浊,而实变消除(见下图)。

 

 

并发症包括急性呼吸窘迫综合征(29%),病毒血症(15%),急性心脏损伤(12%)和继发感染(10%)。

 

在41例患者中,有13例(32%)因需要高流量鼻导管或更高水平的氧气支持措施来纠正低氧血症而被送入ICU。其中,六例(15%)死亡。

 

四例(10%)患者需要有创机械通气,其中两人(5%)患有难治性低氧血症并接受了体外膜氧合(ECMO)治疗。

 

所有患者均接受了经验性抗生素治疗,其中38例(93%)患者接受了抗病毒治疗(奥司他韦)。此外,有9名(22%)患者接受了系统性皮质激素治疗。

 

此外,大多数感染的患者是男性(73%),其他基础病包括糖尿病(20%),高血压(15%)和心血管疾病(15%)。

 

截至2020年1月22日, 28例(68%)患者已出院。

 

作者指出,在2019-nCoV感染中,糖皮质激素经常用于治疗重症患者,以减轻炎症性肺损伤可能带来的好处。

 

但是,SARS和MERS患者的最新证据表明,接受皮质类固醇激素对死亡率没有影响,但会延迟病毒清除。

 

因此,根据世界卫生组织的临时指南,不应常规全身性给予皮质类固醇激素。30在我们的41名经实验室确认的2019-nCoV感染患者中,极少有非ICU病例使用了皮质类固醇,对不到一半的重症ARDS患者使用了中低剂量的皮质类固醇。

 

此外,2019-nCoV患者很少出现肠道体征和症状(例如腹泻),而约20–25%的MERS-CoV或SARS-CoV感染患者患有腹泻。作者也建议,应当对粪便和尿液样本进行测试,以排除现阶段未知的潜在传播途径。

 

目前迫切需要进一步的证据来评估系统性皮质类固醇激素治疗对2019-nCoV感染患者是否有益。

 

总而言之,2019-nCoV感染引起严重的呼吸系统疾病,类似于严重的急性呼吸系统综合症冠状病毒,并与入ICU和高死亡率相关。

 

该研究认为对起源,流行病学,人类传播的持续时间以及疾病的临床情况的认识不足,需要通过未来的研究来弥补。

 

来源:Chaolin Huang, et al. Clinical features of patients infected with 2019 novel coronavirus in Wuhan, China. Lancet. Published: January 24, 2020.

 

文韬